雄性生殖器の腫瘍 Tumors of the Male Reproductive System
精巣の腫瘍 Testicular Tumor
精巣は左右一対の組織で、胎仔が発育するにつれて下降し、鼠径管を通って腹腔外の陰嚢に位置するようになり周囲を鞘膜に覆われます。精巣実質は精巣小葉および精巣間質から構成され、精巣小葉では精子が形成される曲精細管が強く迂曲しながら配列しています。形成された精子は直精細管を介して精巣縦隔内に入り、精巣網、精巣上体へ輸送されます。曲精細管を構成する細胞には、セルトリ細胞と精細胞(生殖細胞)があります。セルトリ細胞は精細管内で一定の間隔をおいて存在する背の高い柱状の細胞で、精細管の基底面から管腔に向かって垂直に配列し、セルトリ細胞間に精細胞を容れています。セルトリ細胞は隣接する細胞の突起と密着帯を形成、血液精巣関門を構成し、その他にアンドロゲン結合タンパクの分泌、精細胞の支持、保護栄養供給、抗ミュラー管ホルモンの分泌などの機能を有しています。精細胞は精祖細胞から精子形成に至るまでの細胞の総称であり、精祖細胞から始まり、一次精母細胞、二次精母細胞、精子細胞を経て精子に至ります。曲精細管間の精巣間質は、膠原線維や間葉細胞および間細胞(ライディッヒ細胞)などから構成されています。間細胞は血管の近くに数個集まって集簇する大型多角形細胞で、好酸性の細胞質と類円形核を有し、脂肪滴やリポフスチン顆粒を含んでおり、テストステロンを分泌します。
上記のような構造を有する精巣では、犬において発生頻度の高い性索間質腫瘍(セルトリ細胞腫および間細胞腫)と胚細胞腫瘍(セミノーマ)の3種類の腫瘍が知られています。精巣腫瘍のほとんどの犬は無症候性で、精巣の肥大を引き起こします。診断時の平均年齢はいずれも約9-11才ですが、停留精巣の腫瘍は陰嚢内精巣の腫瘍の犬に比べて若い傾向があります。以前までセルトリ細胞腫、間細胞腫、セミノーマは、同じ頻度で発生するとされてきましたが、最近の研究ではセルトリ細胞腫の発生率が8%~16%とやや低いことが示唆されており、精巣腫瘍と診断された多くの犬には、複数の種類の精巣腫瘍が混在することがあります。猫の精巣腫瘍はまれですが、セルトリ細胞腫、セミノーマ、間細胞腫および奇形腫が報告されています。一般的な精巣腫瘍の肉眼所見は、セルトリ細胞腫は白くて硬く、セミノーマは白くて柔らかく、間細胞腫は黄色で柔らかい傾向があります。

性索間質腫瘍 Sex cord stromal tumors
臨床情報
セルトリ細胞腫は、精細管内のセルトリ細胞(支持細胞)に由来し、特に高齢の犬の停留精巣でよくみられますが、猫でも稀に報告されています。犬のセルトリ細胞腫の約30-50%は停留精巣でみられ、片側性または両側性に発生します。また、他の精巣腫瘍と混合して認められる場合もあります。セルトリ細胞腫は大型化することが多く、一部の症例では雌性化、対側睾丸の萎縮、前立腺内の扁平上皮化生、化膿性前立腺炎、脱毛症および骨髄抑制を伴うことがあります。骨髄抑制は、貧血、白血球減少症および血小板減少症を引き起こすほど深刻な場合があり、血小板減少症は出血性素因を引き起こす場合もあります。被毛の変化は、クッシング病や甲状腺機能低下症などの内分泌障害で起こるものと同様に、左右対称の脱毛症や皮膚付属器の萎縮、表皮の菲薄化などが認められます。セルトリ細胞腫は結節性または多結節性の腫瘍で、罹患した精巣は不整な形態を示すことがあり、セミノーマや間細胞腫の場合よりも精巣は硬化します。
細胞診
セルトリ細胞腫では、円形~多角形の細胞が孤在性あるいは集塊状に採取されます。核は卵円形で異型性はあまり強くないことがほとんどです。細胞質は淡好塩基性で境界不明瞭であり、小空胞を有することも多いです。稀ですが、好酸性の細胞外物質の周囲にロゼット様に細胞が配列する像(Call-Exner body、赤丸)が見られることもあります。

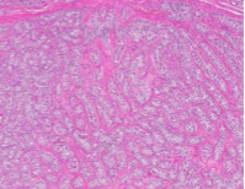
病理組織
セルトリ細胞腫は組織形態に基づいて管内型とびまん型に分けられ、精細管内に留まる管内型から基底膜を侵襲してびまん型に進行していきます。通常、腫瘍細胞は精細管内に存在するセルトリ細胞に類似した形態を示し、豊富な成熟した線維性結合組織で構成される間質の増生が特徴的に見られ、腫瘍細胞は島状あるいは索状構造を形成して増殖します。腫瘍細胞は円柱形から紡錘形で、核は類円形から紡錘形で、泡沫状から空胞状の好酸性細胞質を有します。管内型では、腫瘍細胞は精細管基底膜に対して垂直に柵状に配列するのが特徴的で、びまん型では管状構造は不明瞭となり、密な線維性間質によって区画された広いシート状あるいは島状構造を形成して増殖します。びまん型の腫瘍細胞の形態は不整となり、精巣周囲組織へ浸潤し、脈管浸潤を伴う場合があります。


予後・治療法
セルトリ細胞腫では稀に転移がみられ、所属リンパ節への転移が10~14%の腫瘍で起こるといわれています。悪性化や雌性化は大型の腫瘍でよりその傾向が強く、停留精巣で腫瘍の大型化がよく見られます。雌性化徴候は腫瘍の摘出後に徐々に消失しますが、内臓転移が生じた場合にはこれらの徴候が再現することがあります。小さな腫瘍(2cm未満) の転移率は非常に低く、転移はより大きなセルトリ細胞腫で発生するリスクが高くなります。転移は腰下および骨盤領域の隣接するリンパ節および内臓に発生します。転移した腫瘍に対する治療法の報告はほとんどなく、転移が広範囲に及んでいる症例に対する化学療法の報告も現状ほとんどありません。
間(ライディッヒ)細胞腫 Interstitial (Leydig) cell tumor
臨床情報
間細胞腫は精巣間質の間細胞(ライディッヒ細胞)に由来し、精巣腫瘍の約40%を占めており、高齢犬での発生が最も一般的ですが、猫でもごく稀に発生します。間細胞腫では停留精巣との関連性は報告されていません。この腫瘍の精巣は通常小型であり、触知できないことが多く、ほとんどは約直径1mm~2cmですが、稀に大型化し精巣の腫大を伴う場合もあります。片側性または両側性に発生し、精巣の割面では、腫瘍組織の境界は明瞭で球状、黄色調で出血しやすく、嚢胞を形成する場合があります。間細胞の過形成は比較的多くみられ、前腫瘍性変化である可能性があり、過形成性結節は高齢犬の萎縮した精巣で認められます。過形成性結節は小さく被包化されず間質細胞の数が増加しますが、明らかな異型性や有糸分裂は見られません。間細胞過形成と間細胞腫を区別する明確な基準はありませんが、通常、肉眼的に見える結節は一般に腫瘍と見なされ、顕微鏡でのみ見える結節は過形成と判断されます。
細胞診 間細胞腫では、円形~紡錘形の細胞が採取され、血管の周囲に配列するような集塊(Perivascular arrangement)が見られることも多いです。核の異型性は中等度に見られ、N/C比のばらつきが見られることもありますが、これらの所見が悪性を示唆するわけではありません。また、細胞質にはセルトリ細胞腫よりも小型で均一な空胞が見られます。

病理組織
間細胞腫は通常、緩徐に周囲組織を圧排しながら増殖し、強い浸潤性は示しません。腫瘍細胞は分化した間細胞様の形態を示す円形から多角形で、顆粒状から空胞状の好酸性細胞質を豊富に有し、核は通常小さく円形で、有糸分裂像は稀です。腫瘍細胞はシートまたは索状、洞様構造を形成しながら増殖します。低分化な腫瘍細胞は多形性を示し、壊死および嚢胞形成を伴う場合が多いです。


予後・治療法
間細胞腫の大部分は良性であり、転移することは非常に稀です。悪性の場合は、腫瘍細胞は多形性を示し、有糸分裂像がより多く、脈管浸潤像が認められると報告されています。しかしながら、転移がない場合に、組織学的所見で良性と悪性を区別することは困難です。
胚細胞腫瘍 Germ cell tumors
臨床情報
精上皮腫(セミノーマ)は、精細管内の精子を形成する精細胞に由来し、高齢犬に最も多く見られ、猫でも発生が報告されています。停留精巣はセルトリ細胞腫と同様にセミノーマの発生要因となります。セミノーマは片側性または両側性に発生し、腫瘍の大きさは様々で、腫瘍組織は通常柔らかく、出血または壊死を呈する領域が含まれる場合があります。通常、ホルモンを産生しないため、高エストロゲン症の徴候がある場合は他の腫瘍の可能性を除外する必要があります。セミノーマの主な徴候は、精巣肥大であり、突然の精巣腫大、腫瘍の出血と壊死による疼痛が発生する場合があります。腫瘍組織の質感と色はリンパ腫のそれに類似します。
細胞診
セミノーマでは、やや大型の類円形細胞が孤在散在性~密に採取されます。核クロマチンは細網状~やや粗造で、核の大小不同やN/C比のばらつき、明瞭な核小体などの未熟な細胞を示唆する所見が観察されます。核分裂像(矢印)も多数見られます。リンパ腫と比較すると細胞が大型ですが、比較的標本作製時の変化(裸核化など)を受けやすいため、標本の状態によっては鑑別が困難なことも多いです。
セミノーマでは、やや大型の類円形細胞が孤在散在性~密に採取されます。核クロマチンは細網状~やや粗造で、核の大小不同やN/C比のばらつき、明瞭な核小体などの未熟な細胞を示唆する所見が観察されます。核分裂像(矢印)も多数見られます。リンパ腫と比較すると細胞が大型ですが、比較的標本作製時の変化(裸核化など)を受けやすいため、標本の状態によっては鑑別が困難なことも多いです。

病理組織
セミノーマは組織形態に基づいて、管内型とびまん型に分けられます。管内型は初期の組織形態であり、精細管内で精細胞様の腫瘍細胞が精細管内の構造を置換して増殖します。腫瘍組織による精細管の破綻は比較的すぐに起こり、腫瘍細胞の敷石状、充実性増殖病変を形成し、びまん型へ進行します。腫瘍細胞は大型類円形から多角形であり、好塩基性または好酸性細胞質を有し、核は大型円形で1~複数個の明瞭な核小体を含有し、核分裂像が多く観察されます。CD8陽性のリンパ球の集簇巣が多くの腫瘍にみられます。散在性にみられる個々の腫瘍細胞の壊死は、腫瘍組織内で星空像を呈します。


予後・治療法
セミノーマは潜在悪性腫瘍として考えられています。転移が生じること事もあり、転移率は約5-10%とされ、主に所属リンパ節(鼠径、腸骨、腰下リンパ節)、時に肺や他の内臓器に転移します。特に、腫瘍が大型で精巣全域が腫瘍化している場合には注意が必要とされています。組織学的に転移が予測されるのは、精索などにおける脈管内浸潤や精巣被膜(被膜外)への浸潤性がみられる場合です。セミノーマにおいて、化学療法や放射線療法および新規の標的療法を使用した治療法は現在ほとんど報告されていませんが、シスプラチンとブレオマイシンが転移性腫瘍に対して有効な場合があるという報告があります。
精巣の混合腫瘍 Mixed tumors of the testicle
臨床情報
胚細胞-性索間質混合型腫瘍は、犬で4番目に多い精巣腫瘍であり、精細胞由来腫瘍と性索間質細胞由来腫瘍が混合する腫瘍です。通常、この腫瘍では単一の腫瘍組織内にセミノーマとセルトリ細胞腫の両方の特徴が認められます。これらの腫瘍は停留精巣での発生が多く、片側性または両側性に発生する場合があります。腫瘍組織は、通常硬く白色から黄褐色で膨張性であり、外観的特徴はセルトリ細胞腫のそれに類似しています。
病理組織
組織学的には、セミノーマとセルトリ細胞腫の腫瘍組織が混在して増殖し、両者がさまざまな量の線維性間質によって区画され、セミノーマの腫瘍の増殖巣を含みながら、セルトリ細胞腫の索状構造が観察されます。時に両者の増殖境界が不明瞭となり、細胞形態の区別も難しくなる場合もあります。また、腫瘍組織内では、セミノーマとセルトリ細胞腫の成分のいずれかが優勢である場合があります。


予後・治療法 この腫瘍の予後については、セミノーマとセルトリ細胞腫のそれぞれの性質が見られるため、潜在悪性腫瘍として考えられています。
前立腺の腫瘍 Prostate tumor
副生殖腺には精嚢腺、前立腺、尿道球腺が含まれますが、解剖学的特徴は動物種によって違いが見られ、犬は精嚢腺と尿道球腺、猫は精嚢腺を欠きます。前立腺は尿道周囲を取り囲み、放射状に配列する管状胞状腺組織が集まって構成され、導管は尿道に開口します。腺上皮はしばしば腺腔内に襞をつくり、上皮細胞は立方形から円柱状で、上皮細胞の丈の高さは機能活性によって異なります。間質は弾性線維に富む密な結合組織で構成され、多くの平滑筋線維が含まれています。前立腺は、雄性ホルモンの支配を強く受け、前立腺から分泌された粘液は精子の成熟、遊走などに役立ちます。

前立腺癌 Carcinomas of the prostate
臨床情報
前立腺腫瘍の発生は犬では比較的稀であり、その他の動物種では極めて稀です。前立腺腫瘍のほとんどは悪性の腫瘍で、その大部分は移行上皮癌(尿路上皮癌)または前立腺癌です。多くがアンドロゲン非依存性であるため、前立腺腫瘍の多くは前立腺腺房由来ではなく、尿路上皮または前立腺導管由来である可能性が高いと考えられています。前立腺尿道部の移行上皮癌は頻繁に前立腺に浸潤するため、原発性前立腺癌と前立腺へ浸潤する尿道移行上皮癌を区別することは難しい場合が多いです。前立腺癌の発生は高齢犬で多く、診断時の年齢の中央値は約10歳です。去勢手術は前立腺癌の大きさや進行に影響しないことから、犬の前立腺腫瘍はアンドロゲン不応性で、過形成から連続する病変ではなく、前立腺肥大症は前癌病変の変化ではないと考えられています。犬の前立腺癌の臨床徴候は多様で、血尿、排尿障害、しぶり、排便障害、便の形状の変化(平らなまたはリボン状の便)などがあり、水腎症や腎不全を伴う場合もあります。前立腺癌は骨盤底に固着していることが多く、骨盤や仙骨に浸潤することもあり、腰椎または神経根への浸潤転移は、痛み、歩行異常、跛行、便秘の徴候を引き起こす場合があります。直腸検査では、大きくて硬く非対称または不規則な前立腺が触知され、腰下リンパ節の腫大も確認される場合があります。未去勢犬における前立腺の石灰化所見は、前立腺炎、前立腺肥大症または前立腺嚢胞の犬でみられる場合がありますが、去勢犬で前立腺の石灰化を伴う場合には、前立腺癌の可能性が高いとされ、約40%の前立腺癌の症例で石灰化が認められたという報告があります。また、前立腺嚢胞は前立腺炎や過形成に関連していることが多いですが、前立腺癌でも認められることがあります。なお、犬の前立腺癌でも膀胱移行上皮癌と同様に、BRAF遺伝子検査の変異が検出されており、その変異率は80%と報告されています。
猫の前立腺腫瘍はまれであり、獣医学文献の報告はまばらで、疫学的データは不足しています。臨床徴候には、しばしば下部尿路徴候および便秘、しぶり、排便障害があり、直腸の触診で塊状の病変が明らかになり、腹部超音波検査で検出される場合があります。転移はよくみられるようで、転移部位には膵臓、肺およびリンパ節が含まれます。犬と同じように、通常、排尿障害と血尿の病歴があり、膀胱頸部の移行上皮癌は前立腺に浸潤することがあるようです。
細胞診
前立腺癌では、上皮性細胞が集塊状にあるいはシート状に観察されます。顕著な核の大小不同、N/C比の増大やばらつき、大型核などの強い細胞異型性が見られます。他の上皮性悪性腫瘍とも共通する所見であり、これらを明確に鑑別することは細胞診では困難なことが多いです。

病理組織
犬の前立腺癌の腫瘍細胞は、やや分化度の低い立方形から多角形であり、管状、腺房形成性に配列して増殖し、一部は粘液産生を伴う場合があります。その他には、充実性、微小乳頭状、篩状などの組織形態を示す場合もあり、頻繁な有糸分裂像も癌の診断基準の一つです。腺腔および腺房の形成は、移行上皮癌よりも前立腺癌が強く支持されますが、両者の組織形態は類似する場合が多く、前立腺尿道部の移行上皮癌は容易に前立腺組織へ浸潤するため、組織学的に前立腺癌と移行上皮癌を区別することは難しい場合が多いです。これは多くの前立腺癌が前立腺の尿路上皮から発生する移行上皮癌である可能性を示唆しています。両者の鑑別には、慎重な肉眼的解剖、複数の切片作製による組織評価が必要です。免疫染色による鑑別も難しく、最近の研究では、以前は尿路上皮と腺上皮を区別すると考えられていたサイトケラチン7(CK7)が、両者で同様に発現していることが示されています。
前立腺癌の評価は、生検サンプルからの細胞診もしくは病理組織検査からも可能です。尿道カテーテル法、前立腺マッサージ、前立腺洗浄、超音波ガイド下FNAによる細胞診や経皮的あるいは会陰経直腸的生検による病理組織検査が選択されますが、経皮的、経直腸的生検あるいは超音波ガイド下FNAのリスクには、出血、尿道傷害および腫瘍播種が含まれます。


予後・治療法
前立腺癌は浸潤性が強く、腰下リンパ節に転移することが多いですが、骨、腎臓、膀胱、肺、肝臓、心臓、腸間膜、大網および脳などのさまざまな臓器への広範な転移もみられ、一般的に予後は不良とされています。ある研究では、前立腺癌の犬の80%に転移性病変の証拠が示されています。骨転移は前立腺癌の15~40%で認められ、多くみられるのは骨盤、腰椎、大腿骨です。死亡率は高く、生存期間は短いと報告されていますが、これは多くの場合、病態の後期に診断が下されるためとも考えられています。
前立腺全摘出術や前立腺部分摘出術は技術的な難易度や高い転移率のため、あまり推奨されておらず、治療は主に緩和的療法になるとされています。最小限の治療としては、非ステロイド系抗炎症薬(NSAID)、ミトキサントロンの使用が推奨されています。ある研究で、COX-2の発現は前立腺癌の75%で認められ、ピロキシカムまたはカルプロフェンのいずれかで治療された犬の生存率の向上が示されていますが、COX-2阻害剤の前立腺癌に対する効果はさらに調査するべきであるとされています。前立腺癌に対する化学療法の報告はほとんどありませんが、移行上皮癌に使用される化学療法が効果的な場合があるとの報告がなされています。
前立腺過形成および肥大
臨床情報
前立腺の腺上皮および間質の過形成に起因する前立腺肥大は、未去勢犬でよくみられます。発生率は年齢とともに増加しますが、明らかにホルモンの影響を受けており、去勢により病変は消失します。前立腺過形成の臨床症状としては、前立腺の背側に位置する直腸を圧迫することによる排便障害、前立腺が尿道を圧迫することによる排尿障害が一般的です。
病理組織
前立腺肥大では小葉構造が大きくなり、腺上皮細胞が乳頭状に増生し、腺腔は拡張、一部は嚢胞状を呈します。間質の増生もみられ、慢性炎症を伴うこともあります。増生する円柱形の上皮細胞の高さは増し、核は類円形で基底膜側に配列し、明らかな強い異型性は見られません。


予後・治療法
前立腺肥大には、精巣で合成分泌されるテストステロンやエストロゲンが関与しており、性ホルモンバランスの不均衡が発症の一因と考えられています。前立腺肥大は去勢犬では見られず、去勢により前立腺はむしろ萎縮します。具体的な研究データは不足していますが、犬の前立腺過形成から前立腺癌へ進行するという明らかな証拠は現状報告されていません。
無断での転用/転載は禁止します。
参考文献
・World Health Organization International Histological Classification of Tumors of Domestic Animals, Washington, DC, Armed Forces Institute of Pathology, 1998
・Tumor in domestic animals, 4th ed, Ames, Iowa, Iowa State Press, 2002.
・Tumor in domestic animals, 5th ed, John Wiley & Sons, inc, 2017.
・Withrow & MacEwen’s Small Animal Clinical Oncology, Withrow J.S, et al: Elsevier; six ed, Saunders-Elsevier, 2019
・Cowell RL, Valenciano AC. Cowell and Tyler’s Diagnostic Cytology and Hematology of the Dog and Cat. 5th ed. St. Louis. Mosby. 2019.
・Raskin RE, Meyer DJ. Atlas of Canine and Feline Cytology, 2nd ed. W.B. Saunders Philadelphia. 2009.
* 本腫瘍マニュアルは、主に上記の文献を参考にしていますが、IDEXXの病理診断医が日々の診断を行う際に用いるグレード評価などは他の文献等を参考にしています。
