甲状腺の腫瘍 Thyroid tumor
甲状腺は第1から第2咽頭嚢の間に発生する内胚葉由来の器官で、甲状腺の形態は動物種によって異なります。犬では中央に峡部がみられる左右の葉からなりますが、狭部がしばしば消失した一対の腺組織として存在します。甲状腺は弾性に富む充実した比較的硬い腺組織で、濾胞構造は大小様々な形態を示し、濾胞の大きさは甲状腺機能や動物の栄養状態、年齢等によって変動します。濾胞を構成する細胞(濾胞上皮細胞)は単層の立方ないし円柱形で、濾胞内には様々の量のコロイドを容れています。コロイドは濾胞上皮細胞からの分泌物で、サイログロブリンを含んでいます。濾胞内に貯蔵されたヨード化サイログロブリンは甲状腺刺激ホルモン(TSH)の刺激により、濾胞上皮細胞に再吸収され、リソソーム内で加水分解を受け、遊離型T4およびT3となって血液中に分泌されます。
濾胞傍細胞(C細胞、右下図青矢頭)は、濾胞上皮細胞の外側(基底側)や濾胞間に1個ないし数個の集塊として観察され、濾胞上皮細胞よりやや大きく、丸みを帯びて明るい細胞質を有します。細胞質内には多くのカルシトニン分泌顆粒を有し、カルシトニンは上皮小体から分泌されるPTHに拮抗し、血液中のCa濃度を低下させます。

臨床情報
甲状腺に発生する腫瘍のほとんどは濾胞上皮細胞由来であり、猫は良性、犬では悪性の場合が多いです。良性の濾胞細胞腺腫はゆっくりと成長し、時折、猫の前頸部で臨床的に検出される触知可能な肥大をもたらします。濾胞細胞腺腫は、甲状腺機能亢進症の猫でよくみられ、甲状腺実質に隣接して、境界明瞭に存在する孤立性の結節として認識されます。腫瘍組織は周囲の甲状腺組織を圧排しながら成長し、薄い線維性の壁で被包化され、黄色~赤色の液を容れた波動感のある嚢胞の形成を伴うこともあります。甲状腺腺腫または甲状腺腺腫様過形成に罹患した猫の約70%は両側性の病変を呈し、腺腫は腺腫様過形成領域から発生することがあります。甲状腺機能亢進症は、猫で最も一般的な内分泌障害で、左心室肥大を含んだ心不全を併発することがありますが、実際うっ血性心不全に発展したのは10-12%と言われています。甲状腺機能亢進症の猫では活動亢進がみられ、食欲が正常または増加しているにもかかわらず体重が減少します。
細胞診
猫の濾胞細胞腺腫では、上皮性細胞成分がシート状に採取されます。これらの細胞は均一な形態を示す類円形核と好塩基性に染色される中等量の細胞質を有し、形態的には立方上皮様です。濾胞上皮細胞腫瘍の多くは腺癌であっても均一な細胞成分で構成され、悪性所見を示さないことが多いため、細胞診では腺腫と腺癌の詳細な鑑別はできません。

病理組織
猫の濾胞細胞腺腫では、周囲を部分的あるいは完全に線維性結合組織で境界明瞭に覆われ、様々な大きさの血管を含んでいます。大きな腫瘍になると出血や水腫、ヒアリン化、嚢胞形成、石灰沈着、骨化生がみられることもあります。濾胞細胞腺腫は、組織形態から小濾胞状、大濾胞状、甲状腺嚢胞腺腫、乳頭状、索状/充実性、好酸性(”ヒュルトレ細胞”、膨大細胞)の組織型に分類されます。これらの組織型は、臨床的な予後に影響しないと言われています。濾胞細胞腺腫の多くは、濾胞状の組織型を示し、腫瘍細胞は立方形から円柱形で、円形の核を有し、正常な濾胞上皮細胞とほぼ同じ大きさの形態を示します。腫瘍組織の明らかな被膜侵襲や脈管浸潤所見は認められず、腫瘍組織が大型化すると正常な甲状腺組織は萎縮し、辺縁部に圧排されます。


予後・治療法
猫の濾胞細胞腺腫は甲状腺機能亢進症の原因となり、甲状腺機能亢進症の治療選択肢には、抗甲状腺薬、食事管理、甲状腺外科手術、放射性ヨード療法、外科切除などがあります。多くの猫は両側性の病変を患っていますが、これは非対称であり、触診や外科的探索では明らかではない場合があります。両側甲状腺切除術が適応となる場合、血中Ca濃度の恒常性を維持するために副甲状腺の1つを保存することが重要とされています。濾胞細胞癌の存在を除外するために、外科的に切除されたすべての組織を病理組織検査に提出する必要があります。甲状腺切除術を受けた猫は、通常、臨床症状の改善を経験しますが、片側の機能性腫瘍を持っていた猫では、反対側の甲状腺に明瞭で小さな多結節性過形成を持つことが多く、腫瘍部を摘出した後、数カ月~数年経ってから甲状腺機能亢進症の症状が再発することがあります。欧米では、放射線ヨード療法は、一般に甲状腺機能亢進症の猫、特に両側性甲状腺過形成、異所性甲状腺組織、または甲状腺癌の猫に最適な治療法とされています。
臨床情報
甲状腺濾胞細胞腫瘍は犬で頻繁に発生し、癌が約90%で腺腫の発生は稀であり、しばしば両側性に認められ、猫では甲状腺癌はごく稀です。犬の甲状腺腫瘍では、甲状腺機能亢進症を伴うことは比較的少ないようで、中年~高齢、中型~大型の犬種、シベリアンハスキー、ゴールデンレトリバー、ビーグルで好発します。年齢の中央値は10〜15歳で、性差はありません。犬の濾胞細胞癌は侵襲性が強い悪性腫瘍で、癌は腺腫よりも大型化し、片側性或いは両側性に発生し、周囲との境界はやや不明瞭で気管や食道、喉頭、頚部の筋肉、神経や脈管などに浸潤することがあります。また隣接する頚静脈にも直接侵入することがあり、過去の調査では、ビーグル、ボクサー、そしてゴールデンレトリバーが他の犬に比べてこの疾患に対して危険率が高いとのことでした。腫瘍組織は甲状腺静脈など近接する静脈に浸潤し、腫瘍塞栓の形成や、肺、骨などへの血行性の転移を起こします。所属リンパ節への転移もみられることがあります。時折、濾胞細胞癌は異所性の甲状腺組織(頸部~胸腔の入り口そして心基底部)に発生することもあります。犬が臨床症状を示している場合、腫瘤または隣接組織への腫瘍の浸潤が原因の場合が多く、このような兆候には、嚥下障害、声の変化、喉頭麻痺、ホルネル症候群、呼吸困難などがあります。
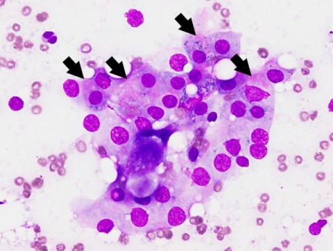
細胞診
犬の濾胞細胞癌では、上皮性細胞が孤在散在性あるいは大小の集塊を形成しながら採取されます。一般的に内分泌由来の増殖性病変からの細胞診では、裸核細胞として観察される細胞成分が多いことが1つの特徴ですが、形態を保持する細胞は類円形核と淡好塩基性に染色される中等量~やや広い細胞質を有しており、細胞形態としては立方上皮として観察されます。細胞外にはしばしばピンク色のコロイド(下図矢印)がみられ、細胞質内にはときおりブルーブラックの色素が認められます。また血流が豊富な場合には濾胞上皮細胞がほとんど採取されないこともあります。細胞異型の程度はさまざまですが、多くのものではほとんどみられないか、軽度です。

病理組織
濾胞細胞癌は濾胞細胞腺腫に比べて、腫瘍細胞の増殖密度が高く、多形性を示し、核分裂像も多く観察されます。腺癌は被包化されず、局所性に被膜や頸部筋群、食道、喉頭、神経、血管へ浸潤する可能性があり、静脈内に腫瘍塞栓の形成がみられることがあります。濾胞細胞癌は組織形態により高分化型甲状腺癌、低分化型甲状腺癌、未分化型甲状腺癌に分類されています。
高分化型甲状腺癌は、立方形から円柱形の腫瘍細胞が、濾胞状、充実性、乳頭状に増殖巣を形成し、様々な大きさ或いは形で、色々な濃度のコロイドを含む濾胞を形成しながら増殖します。このコロイドは濃縮し、部分的に石灰沈着を伴うことがあります。また充実性に増殖する領域では、繊細な結合組織で分画された巣状の構造を形成し、緻密に並ぶ多角形の腫瘍細胞は好酸性の細胞質を有し、様々な分泌顆粒を入れています。主な組織学的パターンに基づいて、濾胞状、乳頭状および濾胞緻密型に細分類され、濾胞状、緻密充実性型が多く見られます。癌のそのような細分化は、動物ではほとんど予後的価値はないとされています。
濾胞細胞癌が進行すると、低分化型、未分化型、紡錘形細胞型、小細胞型、巨細胞型などの退形成性の特徴が現れます。低分化型や未分化型の甲状腺癌は、濾胞やコロイド分泌を伴わない未分化な濾胞上皮細胞の増殖病変から構成され、確定診断には免疫染色による精査が必要となる場合が多いです。組織形態から確定診断が難しい場合は、サイログロブリンやTTF-1に対する抗体を用いた免疫染色が利用されます。


予後・治療法
犬の濾胞細胞癌は、しばしば急速に成長し、気管、食道、喉頭などの隣接する構造に侵入し、転移は頻繁にみられ、腫瘍細胞は甲状腺静脈枝に侵入するため、転移の好発部位は肺です。犬の濾胞細胞癌の最終的な転移率は80%にも及ぶと言われていますが、進行は比較的緩やかなことが多いようです。しかし、中には急速な転移を起す挙動が著しく悪い腫瘍も稀にあります。犬のほとんどの甲状腺腫瘍は外科的に切除することができますが、進行した症例では、隣接する構造への広範囲の局所浸潤によって切除が難しい場合もあります。転移の可能性は、犬の甲状腺癌のサイズと存在期間に比例して高まり、腫瘍が大きくなる前の早期発見と外科的除去は、犬の長期生存にとって重要です。犬の甲状腺両側全摘出の場合、副甲状腺組織を保存する試みを行う必要があります。浸潤性の腺癌は、気管、食道、頸動脈、反回神経などの頸部の重要な構造に浸潤しているため、一般に手術に適しておらず、治療選択肢には、体外照射療法が挙がります。一般に、血管浸潤または転移の証拠がある大きな腫瘍は、全身化学療法で治療され、カルボプラチンが最も一般的に使用されます。しかし、化学療法が腺癌の犬の生存期間を改善するという決定的な証拠は存在しません。
臨床情報
犬猫の甲状腺腫瘍の多くは濾胞細胞由来であり、C細胞(傍濾胞細胞)由来の腫瘍は稀です。C細胞由来腫瘍はC細胞腺腫とC細胞癌に分けられ、C細胞腺腫は、単発或いは多発性で、白色~黄褐色調を示し、片側或いは両側性に発生します。
病理組織
C細胞腺腫の腫瘍組織は繊細な或いは厚い線維性結合組織、毛細血管で大小の胞巣構造に区画され、部分的或いは全周性に線維性被膜で覆われており、正常な甲状腺組織とは明瞭に区分されます。腫瘍細胞は、円柱状または背の高い立方体であり、分化傾向を示しながら、好酸性或いは淡明に染色される豊富な細胞質を有します。内腔を持たないか、コロイド状の物質を含む内腔を含む小さな腺房の構造を形成し、ときにアミロイドの沈着を伴うことがあります。C細胞過形成から腺腫への移行像は主観的であり、C細胞の増殖がいくつかの甲状腺濾胞を超える場合、C細胞腺腫として分類される基準があります。

予後・治療法
通常、C細胞腺腫の腫瘍組織は小型であり、正常甲状腺実質とは境界明瞭に区分されています。腫瘍組織は隣接する甲状腺実質を圧排して増殖しますが、腫瘍細胞の実質への明らかな浸潤性は見られず、周囲組織への浸潤や遠隔転移は認められません。
臨床情報
C細胞癌は広範囲にわたる多結節性の腫瘍が片側或いは両側性に発生し、褐色細胞腫や上皮小体主細胞過形成を伴うことがあります。血中Ca濃度は通常、C細胞由来腫瘍の動物では、正常または正常値範囲内低値を示します。
細胞診
C細胞癌では、多くの細胞は集塊状に採取され、腺房様の構造を示す場合があります。構成細胞は比較的均一な類円形~不整形細胞で、一部の細胞の細胞質内にアズール好性の顆粒がわずかに見られることがあります。これらの細胞はやや偏在性を示す類円形核と淡好塩基性に染色される中等量~広い細胞質を有しています。ただ、C細胞癌は濾胞細胞癌と実質的には同様の細胞学的特徴を示すため、細胞診の所見のみでは濾胞細胞癌との区別は出来ず、通常、両者の鑑別には組織学的検査あるいは免疫染色が必要となります。

病理組織
C細胞癌の腫瘍細胞は腺腫に比べて腫瘍細胞の密度が高くなり、より多形性を示します。腫瘍細胞は甲状腺実質内や被膜へ浸潤性に増殖し、甲状腺組織の全体が腫瘍組織に置換されることがあり、静脈内に腫瘍組織の塞栓を形成する場合もあります。腫瘍細胞は多角形~紡錘形まで多様な形態を示し、好酸性~淡明で微細顆粒状の細胞質を有します。核は卵円形~長楕円形を示し、腺腫に比べてより多数の核分裂像が認められます。腫瘍組織は毛細血管に富む繊細な結合組織で、小型の胞巣状に区画されながら増殖します。腫瘍細胞の細胞質内には免疫染色により、カルシトニンやChromogranin A、Synaptophysin、PGP9.5、TTF-1が証明されます。


予後・治療法
C細胞癌は頸部頭側のリンパ節への転移が起こりやすく、大きな転移巣では出血や壊死病変がみられます。肺への転移も時折起こり、転移はすべての肺葉に及ぶことがありますが、濾胞細胞癌に比べてよく被包化されており、切除可能なことが多く、濾胞細胞癌よりもC細胞癌の方が攻撃性の低い挙動を示す可能性があることが報告されています。
参考文献
・World Health Organization International Histological Classification of Tumors of Domestic Animals, Washington, DC, Armed Forces Institute of Pathology, 1998
・Tumor in domestic animals, 4th ed, Ames, Iowa, Iowa State Press, 2002.
・Tumor in domestic animals, 5th ed, John Wiley & Sons, inc, 2017.
・Withrow & MacEwen’s Small Animal Clinical Oncology, Withrow J.S, et al: Elsevier; six ed, Saunders-Elsevier, 2019
・Cowell RL, Valenciano AC. Cowell and Tyler’s Diagnostic Cytology and Hematology of the Dog and Cat. 5th ed. St. Louis. Mosby. 2019.
・Raskin RE, Meyer DJ. Atlas of Canine and Feline Cytology, 2nd ed. W.B. Saunders Philadelphia. 2009.
* 本腫瘍マニュアルは、主に上記の文献を参考にしていますが、IDEXXの病理診断医が日々の診断を行う際に用いるグレード評価などは他の文献等を参考にしています。
